Passer au contenu

Gießkannenschimmel Aspergillus

Gießkannenschimmel
Mittleres Risiko Allergen Giftig Lästling Peut mordre Physische Gefahr

Classification taxonomique

Reich Pilze (Fungi)
Stamm Ascomycota (Ascomycota)
Klasse Eurotiomycetes (Eurotiomycetes)
Ordnung Eurotiales (Eurotiales)
Familie Aspergillaceae
Gattung Aspergillus
Art Aspergillus
Wissenschaftlicher Name: Aspergillus P.Micheli, 1729
Akzeptierter Name
Mehr auf GBIF.org

Einleitung

*Aspergillus*, im Deutschen als Gießkannenschimmel bezeichnet, ist eine weltweit verbreitete Gattung von Fadenpilzen aus der Familie der Aspergillaceae, die etwa 450 Arten umfasst.[1] Der wissenschaftliche Name leitet sich von der mikroskopischen Struktur der Sporenträger (Konidiophoren) ab, die in ihrer Form einem Weihwasserwedel (lateinisch *aspergillum*) ähneln.[2] Die Gattung vereint ökologisch und ökonomisch gegensätzliche Vertreter: Während Arten wie *Aspergillus oryzae* essenziell für die industrielle Fermentation und Biotechnologie sind, treten andere wie *Aspergillus fumigatus* oder *Aspergillus flavus* als opportunistische Krankheitserreger und Produzenten karzinogener Mykotoxine auf.[3]

Fakten (kompakt)

- *Aspergillus nidulans* fungiert als bedeutender Modellorganismus, der wesentliche Fortschritte in der Erforschung der Pilzgenetik und Zellbiologie ermöglicht hat. - Historisch wurde die Gattung lange den Deuteromycota (Fungi imperfecti) zugeordnet, da sexuelle Fortpflanzungsstadien bei vielen Arten zunächst unbekannt waren. - Die taxonomische Verbindung zum Stamm der Ascomycota wurde durch die Entdeckung sexueller Hauptfruchtformen (Teleomorphen) hergestellt, die unter anderem der Gattung *Eurotium* zugeordnet wurden.[7] - Ein fundamentaler Rahmen für die Klassifizierung wurde 1945 durch Charles Thom und Kenneth B. Raper in der Monographie *Manual of the Aspergilli* geschaffen, die 77 Arten systematisch ordnete. - Bereits 1833 trug Carl Friedrich Wallroth mit seinem Werk *Flora Cryptogamica Germaniae* durch detaillierte Beschreibungen zur Verfeinerung der frühen Artkonzepte bei.[7] - Moderne molekularphylogenetische Untersuchungen im 21. Jahrhundert haben die Einordnung der Gattung in die Ordnung der Eurotiales bestätigt.[7]

Name & Einordnung

Die Gattung *Aspergillus* wurde erstmals 1729 von dem italienischen Botaniker Pier Antonio Micheli in seinem Werk *Nova Plantarum Genera* beschrieben, der neun Arten anhand ihrer charakteristischen Konidienköpfchen benannte. Taxonomisch formal etabliert wurde die Gattung im Jahr 1809 durch Heinrich Friedrich Link, der Michelis Beobachtungen validierte. Der wissenschaftliche Name leitet sich vom lateinischen *aspergere* (verstreuen) ab und bezieht sich auf das *Aspergill* (Weihwasserwedel), dem die mikroskopischen, sporentragenden Konidiophoren ähneln. Im Deutschen trägt die Gattung daher den etablierten Trivialnamen Gießkannenschimmel. Historisch wurde *Aspergillus* den Fungi Imperfecti (Deuteromycota) zugeordnet, da lange Zeit keine geschlechtliche Vermehrung bekannt war.[1] Sexuelle Stadien (Teleomorphe) wurden traditionell in separaten Gattungen wie *Eurotium* oder *Emericella* geführt. Nach der Revision des internationalen Nomenklatur-Codes im Jahr 2011 wurden diese Formen unter dem einheitlichen Gattungsnamen *Aspergillus* zusammengefasst.[3] Heute wird die Gattung phylogenetisch der Familie Aspergillaceae innerhalb der Ordnung Eurotiales zugeordnet.[1] Die interne Systematik unterteilt die über 450 akzeptierten Arten in verschiedene Untergattungen wie *Nidulantes*, *Fumigati*, *Circumdati* und *Aspergillus*.[1][4] Diese Einteilung basiert auf modernen polyphasischen Ansätzen, die Morphologie und molekulare Phylogenie kombinieren.[4]

Aussehen & Bestimmungsmerkmale

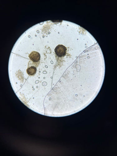
Die Kolonien von *Aspergillus*-Arten zeichnen sich makroskopisch meist durch eine samtige oder pudrige Textur aus, die durch die massive Produktion asexueller Sporen entsteht. Die Färbung der Kolonien variiert je nach Art und Konidiendichte stark und reicht von Blaugrün über Gelb bis hin zu Schwarz, wobei diese Merkmale oft bereits nach 3 bis 7 Tagen sichtbar werden. Das vegetative Myzel besteht aus septierten Hyphen, die ein verzweigtes Netzwerk zur Nährstoffaufnahme bilden. Das zentrale mikroskopische Bestimmungsmerkmal ist der Konidiophor, ein spezialisierter Sporenträger, der aus einer Fußzelle entspringt und in einem langen Stiel endet, der eine geschwollene, kugelige bis subglobose Vesikel trägt. Diese charakteristische Struktur erinnert optisch an ein Aspergill (Weihwasserwedel), was der Gattung ihren Namen verlieh. Auf der Vesikel befinden sich flaschenförmige Phialiden, die entweder direkt (monovertizillat) oder über eine Zwischenschicht aus Metulae (bivertizillat) angeordnet sind. Die asexuellen Konidien werden durch enteroblastische Knospung in langen Ketten gebildet und sind im reifen Zustand meist kugelig sowie oft rau wandig. Die Architektur der Sporenköpfe ist taxonomisch relevant; so zeigt *Aspergillus fumigatus* typischerweise monovertizillate Phialiden mit dichten, säulenförmigen Köpfen und blaugrauen bis graugrünen Kolonien. Im Gegensatz dazu weist *Aspergillus flavus* bivertizillate Strukturen auf, bei denen Metulae einen sekundären Wirtel bilden, was zu größeren und komplexeren Köpfen führt. *Aspergillus niger* ist an seinen anfangs weißen oder gelben, später tiefschwarzen Kolonien und kompakten Köpfen erkennbar. Neben der asexuellen Form bilden einige Arten im sexuellen Zyklus kugelige, geschlossene Fruchtkörper (Kleistothecien) aus, die keine Öffnung besitzen. Diese Fruchtkörper enthalten Asci mit je acht hitzeresistenten Ascosporen, die dem Überleben unter widrigen Bedingungen dienen. Genomische Analysen haben zudem kryptische Artenkomplexe enthüllt, wie etwa innerhalb der Sektion *Fumigati*, die morphologisch kaum von der Hauptart zu unterscheiden sind.[1]

Bedeutung, Schäden & Prävention

Die Gattung *Aspergillus* nimmt eine ambivalente Rolle ein, da sie sowohl als bedeutender Schädling in der Landwirtschaft und Medizin als auch als Nützling in der Biotechnologie fungiert.[3] Agrarwirtschaftlich verursachen Arten wie *A. flavus* massive Schäden durch die Kontamination von Grundnahrungsmitteln wie Mais und Erdnüssen mit karzinogenen Aflatoxinen.[3] Medizinisch ist *A. fumigatus* der Hauptverursacher der invasiven Aspergillose, die bei immungeschwächten Patienten eine Mortalitätsrate von 30–50 % aufweist. Zudem lösen Sporen bei Asthmatikern und Mukoviszidose-Patienten allergische bronchopulmonale Aspergillose (ABPA) aus. In Innenräumen zeigt sich ein Befall durch pulvrige, grün bis schwarz gefärbte Kolonien sowie einen muffigen Geruch, der durch flüchtige organische Verbindungen wie 1-Octen-3-ol entsteht. Präventive Maßnahmen konzentrieren sich auf Feuchtigkeitskontrolle und Hygiene, da die Sporen extrem widerstandsfähig gegen Austrocknung und UV-Strahlung sind. Das medizinische Monitoring umfasst bildgebende Verfahren zum Nachweis des "Halo-Zeichens" in der Lunge sowie serologische Tests auf Galactomannan-Antigene. Die chemische Bekämpfung erfolgt medizinisch primär durch Azol-Antimykotika wie Voriconazol, wobei zunehmende Resistenzen durch den landwirtschaftlichen Fungizideinsatz problematisch sind.[3] Im Pflanzenschutz kommen spezialisierte Fungizide wie Cyclobutrifluram zum Einsatz, um den Befall spezifisch zu kontrollieren. Zur Desinfektion von Oberflächen und Abfallstationen werden auch Kombinationspräparate aus Chemikalien und ätherischen Ölen wie Nelken- oder Teebaumöl verwendet.[6] Als biologische Maßnahme (Biocontrol) werden nicht-toxigene Stämme von *A. flavus* ausgebracht, um toxinbildende Stämme auf Nutzpflanzen durch Konkurrenzausschluss zu verdrängen. Neuere Ansätze zielen auf die Hemmung der Ergosterol-Synthese in Kombination mit oxidativem Stress zur Abtötung des Pilzes ab.[6] Regulatorisch gelten strenge Grenzwerte, wie etwa das Limit der US-FDA von 20 ppb für Aflatoxine in Lebensmitteln, um gesundheitliche Risiken zu minimieren. Aufgrund von Klimamodellen, die eine Ausbreitung pathogener Arten in kühlere Regionen prognostizieren, gewinnt die Anpassung von Überwachungsstrategien an Bedeutung.[3]

Biologie & Lebenszyklus

Der Lebenszyklus von *Aspergillus*-Arten beginnt typischerweise mit der Keimung dormanter Konidien oder Ascosporen, die bei Kontakt mit Wasser anschwellen und innerhalb von 2 bis 6 Stunden unter optimalen Bedingungen einen Keimschlauch bilden. Dieser wächst rasch zu einem multinukleären, septierten Myzel heran, das durch apikale Ausdehnung und Verzweigung das Substrat kolonisiert. Die asexuelle Fortpflanzung dominiert den Zyklus, wobei spezialisierte Hyphen Konidiophoren bilden, die an ihren Spitzen Ketten genetisch identischer Sporen (Konidien) abschnüren.[1] Dieser Prozess ist hocheffizient und ermöglicht es einer einzigen Kolonie, Milliarden von Sporen freizusetzen, wobei der gesamte Zyklus von der Keimung bis zur Verbreitung unter Laborbedingungen oft nur 2 bis 4 Tage dauert.[3] Eine sexuelle Reproduktion wurde bei etwa 30 % der Arten nachgewiesen, darunter *Aspergillus nidulans* und *Aspergillus fumigatus*.[1] Je nach Spezies erfolgt diese über heterothallische (Partner erforderlich) oder homothallische (selbstbefruchtende) Paarungssysteme und führt zur Bildung von Cleistothecien, die hitzeresistente Ascosporen enthalten.[1][3] Die sexuelle Phase dauert im Vergleich zur asexuellen Vermehrung Wochen, fördert jedoch durch meiotische Rekombination die genetische Variabilität. Als saprotrophe Zersetzer ernähren sich *Aspergillus*-Arten von organischem Material wie verrottender Vegetation, Kompost oder stärkehaltigen Früchten, indem sie Enzyme wie Cellulasen, Amylasen und Proteasen sekretieren.[3] Die Nährstoffaufnahme und das Wachstum erfolgen bevorzugt bei Temperaturen zwischen 25 und 37 °C, wobei *A. fumigatus* eine Thermotoleranz bis 50 °C aufweist und *A. niger* über einen weiten pH-Bereich (2–8) metabolisch aktiv bleibt. Physiologisch zeichnen sich die Pilze durch hohe Stresstoleranz aus; so akkumulieren Sporen Melanin zum Schutz vor UV-Strahlung und Glycerin zur Regulation des osmotischen Drucks bei Trockenheit oder hohem Salzgehalt.[3] Dormante Sporen sind extrem widerstandsfähig gegen Austrocknung und können lange Zeiträume überdauern, bis geeignete Umweltbedingungen eintreten.[1] In landwirtschaftlichen Systemen stehen toxigene Stämme in direkter Konkurrenz zu nicht-toxigenen Stämmen, was zur biologischen Bekämpfung durch kompetitive Verdrängung genutzt wird.[6]

Présence et observations actuelles en Allemagne

  • Bielefeld, Nordrhein-Westfalen, Deutschland

    20.10.2025

  • 20.05.2025

  • Germany

    11.12.2024

  • Germany

    11.12.2024

  • Hilbert-Str

    12.02.2024

Daten: iNaturalist

Vorkommen & Lebensraum

Die Gattung *Aspergillus* weist eine kosmopolitische Verbreitung auf und besiedelt terrestrische Ökosysteme sowie Gewässer von den Polarregionen bis zum Äquator. Eine besonders hohe Artenvielfalt findet sich in tropischen und subtropischen Klimazonen wie Asien und Afrika, da warme und feuchte Bedingungen das Wachstum optimal unterstützen. Dank widerstandsfähiger Sporen dominieren xerotolerante Spezies jedoch auch in Trockengebieten wie Wüsten und Steppen, da sie lange Perioden der Austrocknung überstehen können. Das natürliche Hauptvorkommen liegt im Erdboden und auf organischem Detritus, wobei in gemäßigten Breiten Sporenkonzentrationen von bis zu 100.000 pro Gramm Boden dokumentiert sind. Als Saprophyten spielen die Pilze eine Schlüsselrolle beim Abbau von Pflanzenresten, wobei Arten wie *Aspergillus niger* typischerweise Laubstreu und Kompost besiedeln. *Aspergillus fumigatus* hingegen präferiert Substrate mit starker Wärmeentwicklung durch mikrobielle Aktivität, wie sie in Komposthaufen oder Vogelkot vorkommen. Neben terrestrischen Lebensräumen wurden anpassungsfähige Stämme auch in extremen Habitaten wie hypersalinen Böden und küstennahen Salzgebieten nachgewiesen. In menschlichen Siedlungsbereichen besiedeln Arten wie *Aspergillus restrictus* Innenräume, wo sie in Hausstaub und auf feuchten Baumaterialien gedeihen. Vergleichende Studien belegen, dass die Sporenbelastung in der Luft städtischer Ballungsräume durch anthropogene Störungen wie Bauarbeiten oft höher liegt als in ländlichen Gebieten. Landwirtschaftliche Monokulturen und Lagerstätten für Mais oder Nüsse fungieren als wichtige Reservoire, insbesondere für *Aspergillus flavus*. Der globale Handel mit Agrargütern hat historisch zur Verschleppung toxigener Stämme in neue Regionen beigetragen. In Europa wird die Verbreitung zunehmend durch den Klimawandel beeinflusst, wobei sich wärmeliebende Arten nordwärts ausbreiten.[1] Modelle prognostizieren für *Aspergillus fumigatus* eine Arealausweitung um gut 77 % in europäischen Breiten bis zur Mitte des 21. Jahrhunderts. Saisonale Schwankungen zeigen in gemäßigten Zonen oft ein Maximum der Sporenkonzentration in den Sommermonaten.[1]

Saisonalität & Aktivität

Die metabolische Aktivität und das Wachstum von *Aspergillus*-Arten sind stark temperaturabhängig, wobei die Keimung der Sporen bevorzugt in einem Bereich von 20 bis 40 °C erfolgt. Langzeitstudien zur Aerobiologie belegen eine ausgeprägte Saisonalität der Sporenkonzentration in der Luft, die in gemäßigten und subtropischen Breiten während der Sommermonate ihren Höhepunkt erreicht. Dieser Anstieg korreliert direkt mit den höheren Temperaturen und der Luftfeuchtigkeit, welche die Sporulation der Kolonien begünstigen. Der asexuelle Reproduktionszyklus ist dabei äußerst effizient und kann unter optimalen Bedingungen von der Keimung bis zur erneuten Sporenausbreitung in nur 2 bis 4 Tagen abgeschlossen werden.[1] Außerhalb dieser Wachstumsphasen überdauern die Pilze in einem Ruhestadium als widerstandsfähige Konidien oder Ascosporen, die resistent gegen Austrocknung und Hitze sind. Diese Persistenz ermöglicht es xerophilen Arten, auch in ariden Zonen oder während trockener Perioden langfristig im Substrat zu verbleiben.[3] Klimamodelle prognostizieren zudem eine Verschiebung der Aktivitätszonen, wobei sich beispielsweise die Saison für *A. fumigatus* in Europa durch die globale Erwärmung verlängern könnte.[1] Ergänzend dazu zeigt das öffentliche Suchinteresse einen signifikanten Anstieg im September, was zeitlich auf die biologische Hochphase im Spätsommer folgt.

Vue au microscope 3D : Gießkannenschimmel

Aspergillus — Vue 3D interactive

ℹ️ Lizenz & Quelle

Model: Wijwateremmer | holy water bucket (1400-1500) | Creator: Archeologiemuseum Huis van Hilde | Source: https://sketchfab.com/3d-models/none-2bd83d7a4e254a85b3ce0d928791483b | License: CC BY 4.0

Commandes : Molette de la souris pour zoomer • Cliquer et glisser pour faire pivoter

Recherche scientifique et brevets

WO-2022129552-A1 Chemical Inscription

Verfahren zur Bekämpfung oder Vorbeugung von Pflanzenbefall durch Aspergillus

Syngenta Crop Protection AG (2021)

Pertinence: 8/10

Résumé

Das Patent stellt den Einsatz des Fungizids Cyclobutrifluram zur spezifischen Bekämpfung von Aspergillus-Arten vor. Es wird auf Pflanzen oder deren Anbauflächen ausgebracht. Die Methode bietet einen direkten chemischen Schutz gegen den Befall durch diesen phytopathogenen Mikroorganismus.

CN-113383800-A Chemical Inscription

Herstellungsverfahren für ein Aspergillus niger Bekämpfungsmittel in Müllumladestationen

Honghu Lantian Anhuan Energy Saving Equipment Company Ltd. (2021)

Pertinence: 8/10

Résumé

Beschrieben wird ein Kombinationspräparat aus pflanzlichen ätherischen Ölen (Nelke, Beifuß, Teebaum) und Chemikalien. Es dient der Abtötung von Aspergillus niger in Müllstationen und bindet gleichzeitig schlechte Gerüche. Die Mischung wirkt stark bakterizid und fungizid.

CN-111334460-A Biological Inscription

Verfahren zur Hemmung der Temperaturtoleranz von Aspergillus flavus

University of Jiangsu Normal (2020)

Pertinence: 10/10

Résumé

Die Erfindung beschreibt eine Methode, um Aspergillus flavus durch die Hemmung der Ergosterol-Synthese und des Transkriptionsfaktors SrbA zu schwächen. In Kombination mit Wasserstoffperoxid wird der Pilz effektiv abgetötet. Dies dient dem Schutz landwirtschaftlicher Produkte vor Kontamination.

CN-108570418-A Biological Inconnu

Aspergillus fumigatus Agar-Perlen und deren Herstellungsverfahren

University of Shandong Agricultural (2018)

Pertinence: 6/10

Résumé

Das Patent beschreibt die Herstellung von Agar-Perlen, die Aspergillus fumigatus Sporen enthalten. Diese dienen dazu, standardisierte Lungeninfektionsmodelle in Versuchstieren zu etablieren. Es ist keine Bekämpfungsmethode, sondern ein Forschungswerkzeug zum Studium der Infektion.

US-8637002-B2 Biological Accordé

Nicht-toxigene Stämme von Aspergillus flavus zur Kontrolle von Aflatoxin-Kontamination

Dorner Joe W, Horn Bruce W, US Agriculture (2011)

Pertinence: 10/10

Résumé

Es werden nicht-giftige Stämme von Aspergillus flavus als Biokontrollmittel eingesetzt. Diese verdrängen durch Konkurrenz die toxinbildenden Stämme auf Nutzpflanzen wie Erdnüssen und Mais. Die Kernidee ist die präventive Besiedlung, um Aflatoxin-Kontaminationen zu verhindern.

Sources et références

  1. https://www.gbif.org/species/8884233
  2. https://scholarship.libraries.rutgers.edu/esploro/outputs/bookChapter/An-overview-of-the-genus-Aspergillus/991031679647304646
  3. https://pmc.ncbi.nlm.nih.gov/articles/PMC5490296/
  4. https://www.frontiersin.org/journals/microbiology/articles/10.3389/fmicb.2016.00683/full
  5. https://wellcome.org/insights/articles/climate-change-putting-millions-more-people-risk-infection-causing-fungi
  6. https://drfungus.org/knowledge-base/aspergillus-species/
  7. Literaturzusammenfassung (mit Bibliographie, siehe Primärquellenliste)